아트성형외과
http://xn--2www-ux3px3tnkeyyaz50cxr8bygal2z.artvs.co.kr
치료전후사진 1 페이지
본문 바로가기
팝업레이어 알림
팝업레이어 알림이 없습니다.
메뉴
열기
아트스페셜
VS주사
퍼밍필러
뉴라덤 스킨부스터
상/하안검 및 재수술
4D 코성형
4D 지방이식
울트라콜
슈링크 리프팅
브이올렛
리쥬란
스킨바이브
쥬베룩
큐오필
리프팅/안티에이징
동안센터
리프팅/안티에이징
눈 성형
매몰법
절개법
안검하수
트임수술
눈밑지방 재배치
상안검성형
하안검성형
외안각성형술
윗 눈꺼풀 꺼짐/눈밑고랑
눈재수술
코 성형
짧은 코
넓은 코
낮은 코
매부리코
4D 코성형
비중격만곡증
코 축소술
코 재수술
코성형 재료
얼굴 성형
얼굴윤곽
지방이식
4D 지방이식
V라인 지방흡입
귀족/무턱 성형
보조개
바디성형
lol주사
시크흡입
얼굴(턱)지방흡입
팔 지방흡입
등 지방흡입
복부 지방흡입
허벅지 지방흡입
종아리 지방흡입
미니 지방흡입
아포렉스 고주파(S)
버블젯
가슴 성형
가슴성형
브라필필러
줄기세포 가슴지방이식
쁘띠 성형
보톡스
큐오필
울트라 V리프팅
윤곽주사
지방분해주사(HPL)
브이올렛
아포렉스고주파(L)
스킨플러스하이알
블루로즈리프팅
큐오젤
보브라인
촉촉필
슈링크 리프팅
레이저 피부관리
레이저
이클립(HIFU) 리프팅
MTS+PRP 여드름흉터
아쿠아필 모공관리
4G 레이저토닝 미백관리
블랙필 여드름관리
산소필 미백관리
호박필 보습관리
비타민/이온토 관리
문신제거
병원안내
의료진소개
병원내부시설
오시는 길
커뮤니티
공지사항
온라인 상담
치료전후사진
치료후기
아트이야기
메뉴
닫기
검색
열기
사이트 내 전체검색
검색
닫기
게시물 검색
검색대상
제목
내용
제목+내용
회원아이디
회원아이디(코)
글쓴이
글쓴이(코)
검색
치료전후사진 카테고리
전체
리프팅&안티에이징
얼굴
가슴&바디
레이저&피부관리
Fun 이전
현재페이지
1
/
8
Fun 다음
치료전후사진
목록
(Total 115 건 / 1 페이지)
공지
얼굴
이마 및 미간 주름 필러 시술
안녕하세요. 서면 아트 조재섭원장입니다. 이번에는 이마 및 미간 주름 케이스입니다. 많은 분들이 이마에 가로주름이나 미간쪽에 내천(川)자 세로주름이 생기셨다면서 저희 병원을 내원하시는데요. 주름종류를 아주 간단하고 쉽게 두가지로 설명드리면 1. 무표정일때는 주름이 없는데 표정을 짓는 경우에만 주름이 생기는지, 2. 아니면 무표정일 때에도 주름이 이미 패여있는지 입니다. 아직 젊을 때에는 1번인 경우가 많지만 나이가 들면서 피부탄력이 떨어지고 처짐도 생기며 피하지방층도 얇아지면서...
최고관리자
|
06-11
공지
얼굴
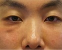
다크서클 치료 2
안녕하세요. 서면 아트 조재섭원장입니다. 지난 다크서클 케이스 1편에 이은 2편입니다. 다음은 시술 3개월후 사진입니다. 어두웠던 색소가 밝아지고 처진 피부와 튀어나왔던 지방이 좋아지고 꺼졌던 눈아래가 올라오면서 전체적으로 화사해진 얼굴이 된 것을 볼 수 있습니다. 우리 얼굴의 피부중에서 아래 눈꺼풀 부위는 피하지방이 거의 없고, 매우 얇으며 여러층의 조직과 구조물들이 복잡하게 얽혀있어서 시술이 조금이라도 잘못되었을 때 부자연스럽기도 ...
최고관리자
|
06-11
공지
얼굴
다크서클 치료
안녕하세요. 서면 아트 조재섭원장입니다. 이번 케이스는 다크서클입니다. 다크서클은 말 그대로 눈밑이 어두워 보이거나 칙칙해 보이는 경우인데요. 고객분들은 눈밑 다크서클이 심하다고 하시면서 내원하시지만 실제로 그 원인은 여러가지가 있습니다. 1. 눈밑 피부 및 피하조직이 얇아서 혈관, 근육이 비쳐서 어두어 보이는 경우 2. 눈밑에 색소 침착이 ...
최고관리자
|
06-11
공지
얼굴
이마 시술 부작용
안녕하세요. 서면 아트 조재섭원장입니다. 이번에는 이마 시술 부작용에 관한 이야기 입니다. 이마볼륨의 경우 예전에는 강남미인도 스타일로 봉긋하게 볼륨을 넣어달라는 분들이 많으셔서 자연스러움을 추구하는 제가 난감한 경우가 많았었는데, 최근 트랜드는 굴곡없이 매끈하면서 자연스러운 이마를 원하셔서 너무 행복합니다. 이런 굴곡이나 패임들의 요철이 없는 매끈한 이마를 생각하시면서 병원을 알아보시고 내원하게 되는데, 그 결과는 시술자의 숙련도에 따라서 당연히 달라지게 됩니다. 시술이 잘못된 경우 그 병원이든 다른 병원...
최고관리자
|
06-11
공지
얼굴
타병원 이마필러 제거 시술
안녕하세요. 서면 아트 조재섭원장입니다. 이전 글에서 다뤘던 케이스의 연속된 글입니다. 말씀드린대로 기존 타병원 필러를 제거하고 유착과 패인 부분을 치료하였으며 섬유화된 흉터조직들을 어느정도 제거하였습니다. 저는 개인적으로 더 매끄럽고 자연스러운 볼륨을 선호하지만 흉터조직의 볼륨이 어느정도 남아있는 상황이라서, 굴곡없는 결과를 만들려면 잔여 흉터조직의 높이에 맞춰야 하는 상황이었습니다. 결과적으로 부분적으로 유착과 패인 부분이 남아있기는 하지만 많이 매끄러워진 것을 볼 수 있습니다. <...
최고관리자
|
06-11
공지
얼굴
이마 필러 제거 시술
안녕하세요. 서면 아트 조재섭원장입니다. 타병원에서 이마필러를 하시고 나서 처음에는 괜찮았으나 시간이 지나면서 수개월 후 울툴불퉁해졌고, 이 때문에 해당병원에서 추가 시술을 했으나 더욱 악화되서 녹이고 싶다고 하셨다고 합니다. 해당병원에서 수차례 녹였으나 계속 굴곡이 보이고 남아있어서 환자분이 지쳐서 지인 소개로 저희 병원에 방문하신 케이스입니다. 방문당시 사진 제거되고 있는 이마 부위 필러 사진 필러 제거 시술 3개월 경...
최고관리자
|
06-11
공지
얼굴
부산 서면 지방이식 부작용의 사례와 치료법에 대해서 알…
안녕하세요. 부산 서면 아트 조재섭원장입니다. 이번 환자 케이스는 첫 시술 후 부작용이 심하여 이를 개선하기 위해 여러 병원을 전전하신 분입니다. 각기 다른 병원에서 다양한 시술 받으시면서 여러가지 부작용이 중첩된 케이스로 매우 복잡하고 난이도가 높으며 시간이 걸리는 케이스였습니다. ...
최고관리자
|
06-11
공지
얼굴
눈밑, 앞광대, 팔자, 관자 등 풀페이스 필러 시술
안녕하세요. 서면 아트 조재섭 원장입니다. 이번 케이스는 얼굴전체에 볼륨이 없으셔서 눈밑, 앞광대, 팔자, 관자 등 풀페이스 필러를 시술한 사례입니다. 환자분께서 얼굴 전체 상담을 원하셔서 진행하게 되었고 “얼굴이 어두워보인다, 아파보인다는 얘기를 많이 듣는 편입니다. 그리고 얼굴이 전체적으로 넙적해보이고 입도 튀어나와 보이는 것 같은데 어떻게 방법이 없을까요? “ 라고 말씀하시면서 저에게 물어보셨습니다. 이 분의 경우 첫째, 눈밑과 앞광대부위의 볼륨이 꺼져있어서 다크서...
최고관리자
|
06-11
공지
얼굴
팔자, 입술 및 입주위 시술
안녕하세요. 조재섭원장입니다. 이번에는 오랜만에 내원하신 환자분의 입술 볼륨, 입꼬리, 팔자 등 노화로 인해 나이들어 보이고 쳐지고 꺼져보이는 입주위를 교정한 케이스입니다. 이 분은 부산에서 제가 큐오필을 처음 시작하던 시점인 2014년도, 그러니까 거의 10년전에 큐오필을 시술받았던 분인데 오랜만에 내원하셨네요. 지금은 많이 보편화 되어있지만 당시에는 히알루론산필러에 PRP(자가혈을 이용한 혈소판풍부혈장)을 접목한 큐오필 시술을 하는 곳이 거의 없어서 환자들이 많이 물어보시고 시술받으셨던 기억이 나네요. ...
최고관리자
|
10-23
공지
얼굴
돌출입 교정 케이스
안녕하세요. 서면 아트 조재섭원장입니다. 이번 환자분은 돌출입 케이스입니다. 이 분은 평소 입이 돌출되어 보이는게 콤플렉스였던 분입니다. 본원에 방문하시기전에 치아교정에 관심이 많으셔서 치과에 가셔서 상담을 진행하게 되었는데 치아의 돌출도 있지만 잇몸뼈 자체가 돌출되어 있는 경우라서 교정으로 어느 정도는 좋아질 수는 있으나 한계가 있다고 설명하시면서 양악 수술이나 돌출입 수술을 추천 받으셨다고 합니다. 환자분께서는 직장을 다니고 있는 시점에 수술을 위해 길게 자리를 비우기 힘든 ...
최고관리자
|
07-20
공지
공지
눈밑고랑, 인디언주름 제거 및 눈밑필러
안녕하세요. 조재섭 원장입니다. 이번 환자는 눈밑필러 부작용 교정 및 눈밑고랑, 인디언주름 제거 시술 케이스 입니다. 이 분은 부산의 다른 병원에서 눈밑필러 시술을 받고 굴곡이 심해서 해당 병원에서 필러를 녹인 후 저희 병원으로 오신 분입니다. 이 환자분처럼 일반적으로 눈밑고랑이나 인디언주름이 심한 경우에는 그걸 교정하지 않고 필러 시술만 해서 더 부자연스러워지거나 굴곡이 생기는 경우가 많습니다. 이 케이스 역시 단순히 눈밑필러만 시술하고 부자연스러워져서 시...
최고관리자
|
01-05
공지
얼굴
불법 이마 필러에 의한 유착 및 굴곡 교정
안녕하세요 아트 원장 조재섭입니다. 이번 환자는 불법 이마 필러 시술 후 굴곡 교정 케이스입니다. 20여년전에 병원이 아닌 곳에서 일명 “사사 시술” 을 받으시고 굴곡이 심하게 생기셔서 스트레스 받으며 지내시다가 저희 환자분 소개로 방문하셨습니다. <시술전> 이 분에게 불법필러는 녹거나 흡수되지 않으며 수술로 제거가 가능한데 완전히 제거하는 건 힘들다고 설명드리고 필러제거수술을 추천드렸습니다. 환자분께서 수술과 마취에 대한 거부감 때문에 제거술...
최고관리자
|
07-20
공지
얼굴
타병원 눈밑필러로 인한 굴곡 재건 케이스
안녕하세요, 아트 원장 조재섭입니다. 지방에 사시는 분인데 평소 눈밑 꺼짐이 심하여 근처에서 필러 시술을 받았으나 굴곡이 생겨서 난감해 하셨던 케이스입니다. 필러 시술후 오히려 굴곡이 심해져서 안타깝게도 사람을 똑바로 쳐다보지 못하고 고개를 숙이거나 가리고 다니셨다고 합니다. 여러 병원을 가보셨지만 필러 녹이는 주사 시술 후 전혀 반응하지 않자 수술해야 한다는 설명을 듣고 우울하게 지내시다가 지인 소개로 본원에 내원하셨는데요. 일반적으로 사용하는 ...
최고관리자
|
12-08
공지
얼굴
타병원 이마 필러 굴곡 교정케이스
안녕하세요 아트 원장 조재섭입니다.이 분은 원래 좌측 이마에 혹이 있어서 이를 개선하고자 오래전에 필러 시술을 받은 걸로 추정되는 분입니다. 수년간 괜찮은 모습이었으나 서서히 흡수되면서 굴곡이 심해져서 컴플렉스때문에 오랜 세월 앞머리로 이마를 가리면서 지내 오셨는데요. 제거하고자 여러 곳을 전전하시다가 본원에 방문하게 되었습니다. 정작 환자분 본인은 이마부위에 시술 받았는지 기억 못하시고 해당 의원 기록에도 나와있지 않은 난감한 케이스였는데요. 원칙적으로 병력에만 따르면 시술 과거력이 없는 덩어리들이므로 ...
최고관리자
|
12-08
얼굴
VS주사 시술 전후사진
최고관리자
|
01-19
Fun 이전
현재페이지
1
/
8
Fun 다음
회원가입
로그인
PC버전
|
Privacy
|
agreement
Copyright ©
아트의원
All rights reserved.